Una enfermedad sobre la que hoy en día se habla mucho es el CÁNCER, esto se debe a que desafortunadamente es una enfermedad que afecta a miles de personas en todo el mundo y que además es la causante al rededor de 8 millones de muertes al año. Aunque según algunas investigaciones se calcula que un tercio de estas muertes podrían prevenirse.
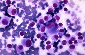
Esta imagen corresponde a células cancerígenas vistas al microscopio:
Para entender mejor el cáncer creo que sería interesante saber diferenciarlo de un tumor ya que considerarlos como sinónimos es un error que muchas personas cometemos. Por eso vamos a definir brevemente cada uno de ellos:
TUMOR: Se puede definir a un tumor como una masa formada por tejido del organismos cuyas células se reproducen y crecen de una manera anormal, sin producir ningún beneficio al cuerpo ya que no posee ninguna actividad fisiológica. Un tumor puede ser benigno o maligno.
CÁNCER:Cuando el tumor es maligno se produce un cáncer, y esto ocurre cuando las células que se están reproduciendo de manera anormal invaden tejidos sanos del organismos y se extienden a otras partes del cuerpo. Llamándose a esto Metástasis.
Espero que eso haya quedado claro y ahora vamos a centrarnos en el cáncer:
¿QUÉ ES EL CÁNCER?
El Instituto Nacional de Cáncer (NIC) define esta enfermedad como la división anormal y sin control de ciertas células que pueden llegar a invadir otros tejidos. Estas células pueden ser distribuidas a otros tejido tanto por el sistema sanguíneo como por el sistema linfático.
Es importante recordar que el Cáncer no es una sola enfermedad sino que son muchas, habiendo al rededor de unos 100 tipos diferentes de ellos. (Puedes consultarlos todos ellos en el siguiente enlace: 100 TIPOS DE CÁNCER )
Al ser muchas enfermedades distintas, estas están agrupadas en categorías, siendo las más abundantes y comunes las siguientes:
- Carcinoma:
En esta categoría podemos encontrar a aquellos cánceres que comienzan a formarse en la piel o en tejidos que revisten órganos internos. A este grupo pertenecen los melanomas.
- Sarcoma:
En este grupo se incluyen a los cánceres que empieza en tejidos conjuntivos como los huesos, los cartílagos, grasas, músculos y vasos sanguíneos. Por ejemplo los osteosarcomas.
- Leucemia:
En estos casos la enfermedad comienza en la médula ósea , tejido que forma las células sanguíneas, esto conlleva a que gran cantidad de células cancerosas entren en contacto con la sangre, produciendo un gran daño en el organismo.
- Linfoma y mieloma:
Aquí, la enfermedad comienza en las células que constituyen el sistema inmunitario.
- Cánceres del sistema nervioso central:
Esta es la última categoría y como su propio nombre indica en estos casos el cáncer comienza en el sistema nervioso central, es decir, afectan al cerebro y a la médula espinal.
Algunos de los cánceres mas comunes en la población mundial son los siguientes:
El cáncer se desarrolla en distintas fases dependiendo de la invasión que tenga la enfermedad en el cuerpo. Estas fases son llamadas estadios y en la siguiente imagen se pueden ver distintos estadios del cáncer de colón:
¿CÓMO SE PRODUCE EL CÁNCER?
Todos los tipos de cáncer comienzan siempre en la células. Como ya sabemos el cuerpo humano esta formado por células, células que se dividen y reproducen de una manera controlada y normal. Y de la misma manera cuando la células envejecen, se dañan o no funcionan correctamente estas son desechadas por el organismo reemplazándolas por otras nuevas (apoptosís).
Sin embargo, algunas veces este proceso ordenado se descontrola. Y como resultado el material genético de la célula (ADN) se daña o altera. Cuando esto ocurre las células que deberían morir no lo hacen sino que por el contrario estas se dividen de manera normal formando células nuevas que el cuerpo no necesita. Estas células formaran una masa de tejido sobrante, denominado TUMOR.
No obstante, NO todos los tumores son cancerosos. Sino que existen de dos tipos:
- Los tumores benignos NO cancerosos:
En estos casos los tumores pueden ser extirpados y normalmente no vuelven a aparecer. Aunque la principal característica de estos tumores que las células de estos tumores NO se diseminan a otras partes del cuerpo.
- Los tumores malignos (cancerosos):
Por el contrario en estos casos las células que forman los tumores se extienden a otras partes del cuerpo invadiendo tejidos. Cuando esto ocurre se denomina metástasis.
¿QUÉ IMPORTANCIA TIENE EL CÁNCER COMO ENFERMEDAD?
Como enfermedad el cáncer tiene una gran importancia ya que es una de las enfermedades que más muertes produce a nivel mundial y que se extiende por todas partes del mundo y además pueden padecerlas todas las personas tanto adultos como niños.
Otro factor que hace del cáncer una enfermedad de riesgo e importante es el hecho de que afecta a un gran número de personas anualmente, por ejemplo en 2012 se diagnosticaron al rededor de 14 millones de nuevos casos de cáncer, y por otra parte se trata de una enfermedad que no tiene una cura definida por lo cual ese mismo año , en 2012, causó la muerte a unas 8,2 millones de personas. También se calcula que en los proximos 20 años los casos de cáncer aumentaran en un 70% aproximadamente. Sin embargo de estos datos de mortalidad tan elevados se deben a factores externos como por ejemplo la falta de recursos que tienen algunos países para poder luchar en contra de la enfermedad.
Sin embargo actualmente y desde hace algunos años la mortalidad debido a casos de cáncer esta disminuyendo debido probablemente a los avances en la investigación de esta enfermedad.
TRATAMIENTOS EN LA LUCHA CONTRA EL CÁNCER:
El diagnóstico temprano de esta enfermedad es algo esencial para poder llegar a curarse. Al ser enfermedades distintas ,clasificadas en un mismo grupo, cada una posee un tratamiento específico el cual puede contar de una o dos modalidades (cirugía, radioterapia y quimioterapia).
Si la enfermedad esta extendida a otras partes del cuerpo será necesario utilizar otros procedimientos bien por separados o combinados entre sí.
Dicho método consiste en la utilización de partículas de elevada energía capaces de penetrar en las células del cuerpo. Al entrar en el cuerpo, estas partículas que son similares a los rayos X destruyen a las células cancerosas ya que estas son especialmente sensibles a la radiación.
La radioterapia puede ser utilizada en diversos casos:
Es utilizada en aquellos tumores malignos en los que las células de estos no se están extendiendo a otras partes del cuerpo y que ademas estos sean sensibles a la radiación.
Tambien se utiliza como tratamiento supletorio a la cirugía, aplicándolo previamente a ésta, para disminuir el tamaño del tumor y que sea más fácil su extirpación.
Otra forma de emplear este método es combinándolo con la quimioterapia, usando quimioterapia antes de la radioterapia para hacer más sensibles a las células cancerosas a la radiación. Otro método consiste en utilizar la radioterapia después de la quimioterapia para asegurar la eliminación de todas las células cancerosas.
El principal defecto de este tratamiento es que la radiación puede llegar a afectar a otras células del cuerpo que no estén infectadas.
Este procedimiento es muy eficaz para tratar el cáncer pero también produce graves efectos secundarios como:
El diagnóstico temprano de esta enfermedad es algo esencial para poder llegar a curarse. Al ser enfermedades distintas ,clasificadas en un mismo grupo, cada una posee un tratamiento específico el cual puede contar de una o dos modalidades (cirugía, radioterapia y quimioterapia).
- Cirugía como tratamiento contra el cáncer:
Si la enfermedad esta extendida a otras partes del cuerpo será necesario utilizar otros procedimientos bien por separados o combinados entre sí.
- Radioterapia:
Dicho método consiste en la utilización de partículas de elevada energía capaces de penetrar en las células del cuerpo. Al entrar en el cuerpo, estas partículas que son similares a los rayos X destruyen a las células cancerosas ya que estas son especialmente sensibles a la radiación.
La radioterapia puede ser utilizada en diversos casos:
Es utilizada en aquellos tumores malignos en los que las células de estos no se están extendiendo a otras partes del cuerpo y que ademas estos sean sensibles a la radiación.
Tambien se utiliza como tratamiento supletorio a la cirugía, aplicándolo previamente a ésta, para disminuir el tamaño del tumor y que sea más fácil su extirpación.
Otra forma de emplear este método es combinándolo con la quimioterapia, usando quimioterapia antes de la radioterapia para hacer más sensibles a las células cancerosas a la radiación. Otro método consiste en utilizar la radioterapia después de la quimioterapia para asegurar la eliminación de todas las células cancerosas.
El principal defecto de este tratamiento es que la radiación puede llegar a afectar a otras células del cuerpo que no estén infectadas.
- Quimioterapia:
Este procedimiento es muy eficaz para tratar el cáncer pero también produce graves efectos secundarios como:
- Los medicamentos quimioterápicos al actuar sobre células que se dividen con frecuencia también pueden actuar sobre aquellas células normales que también se dividen con frecuencia.
- Algunos de estos fármacos producen náuseas, vómitos, diarrea, llagas en la boca. Otros dan lugar a una pérdida temporal del cabello. Y la médula queda temporalmente perjudicada en su función de producir células sanguíneas.
El tratamiento puede tener como fin la cura de la enfermedad en aquellas personas que tengan un tipo de cáncer curable o su fin puede ser aliviar el dolor del paciente cuando su enfermedad es incurable en estos casos aparte de actuar con cirugía, radioterapia y quimioterapia también se utiliza apoyo psicológico.
PREVENCIÓN DEL CÁNCER:
Eston son algunos de los métodos que podemos realizar con el fin de poder prevenir al cáncer:
Esto es todo por ahora. Espero que os hay gustado y servido en todo lo posible para comprender esta grave enfermedad que hoy en día esta muy extendida.














Excelente. En tu línea.
ResponderEliminarMuy completo, bien estructurado e invita a ser leído.